CONHEÇA NOSSOS SERVIÇOS

O Santolin Tecnologia Odontológica oferece toda a qualidade e experiência herdadas pela nossa tradição familiar, através de produtos e serviços de excelência.

QUEM SOMOS NOSSOS SERVIÇOS

Precisa de ajuda? Entre em contato conosco.

Fale Conosco

Serviços

Trabalhos Iniciais

Trabalhos Iniciais

O trabalho inicial garante um diagnóstico preciso para chegar a um ótimo resultado final.

Saiba mais.
Prótese Sobre Implante

Prótese sobre implante

As próteses sobre implantes derivam de um minucioso planejamento estético e funcional.

Saiba mais.
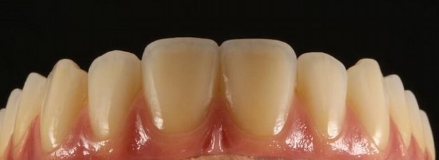
Reabilitação Dentogengival

Reabilitação Dentogengival

A prótese dentogengival em cerâmica vem se destacando no cenário mundial nos últimos anos.

Saiba mais.
E-max

E-max

Os elementos de E-max são livres de metal e portanto, transmitem uma maior naturalidade aos dentes de porcelana.

Saiba mais.
Zircônia

Zircônia

A Zircônia substitui em muitos casos o metal, além de ter um grande potencial estético na utilização em reabilitações orais.

Saiba mais.
Metalocerâmica

Metalocerâmica

Os Elementos de Metalo-Cerâmicas são utilizadas para a reconstrução total de um ou mais dentes.

Saiba mais.
Prótese Parcial Removível

Prótese Parcial Removível

A indicação de Prótese parcial removível é para casos onde a perda dentária é parcial.

Saiba mais.
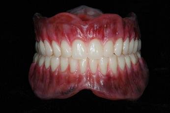
Prótese Total

Prótese Total

As próteses totais são substitutos para os dentes ausentes que podem ser retiradas e recolocadas na boca.

Saiba mais.
Ortodontia

Ortodontia

A ortodontia é uma especialidade odontológica que corrige a posição dos dentes e dos ossos maxilares posicionados de forma inadequada.

Saiba mais.